Skip to content Skip to footer
Gallery

Smile Gallery

A confident smile can change how you feel every day. Browse real results and see what’s possible with personalized care.

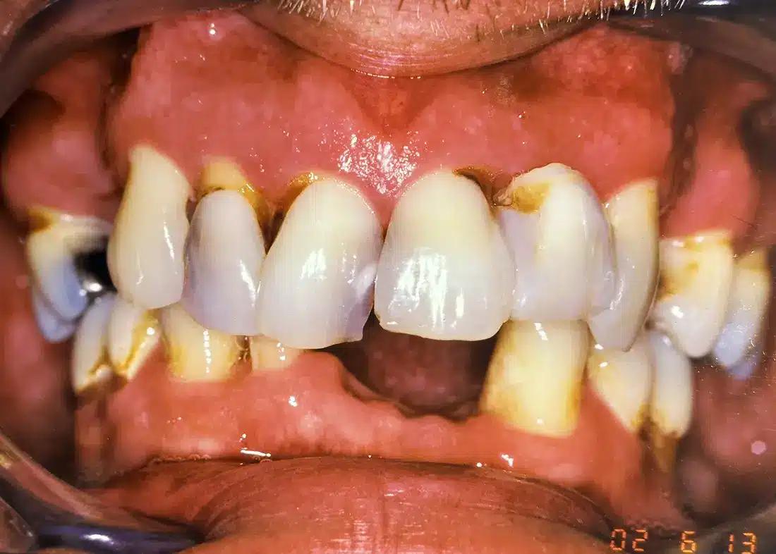
Before & Afters

BeforeBeforeAfter
BeforeBeforeAfter
BeforeBeforeAfter
BeforeBeforeAfter
BeforeBeforeAfter
BeforeBeforeAfter